|
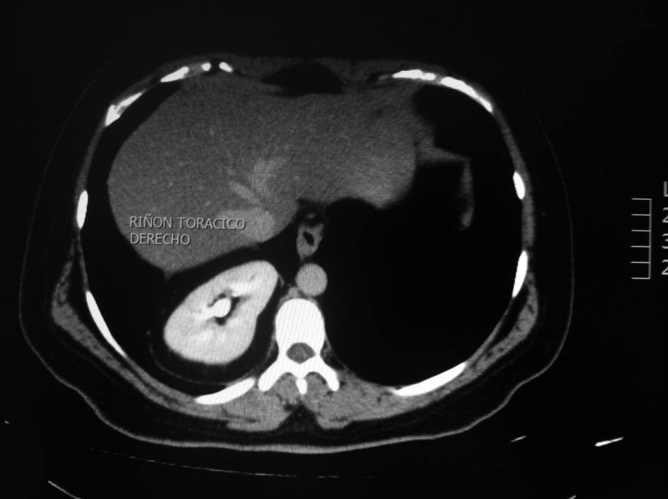
Es una anomalía congénita que consiste en el desarrollo de uno de los riñones en una posición anormal, como es el caso de un riñón torácico, un riñón pélvico o ambos riñones en el mismo lado del organismo. El riñón ectópico puede ser totalmente funcional, ser descubierto por casualidad al efectuar una exploración médica y no presentar sintomatología alguna o provocar manifestaciones clínicas por cálculos, infecciones, tumores, etcétera.
Tomografía que demuestra riñón ectópico torácico derecho
 
|